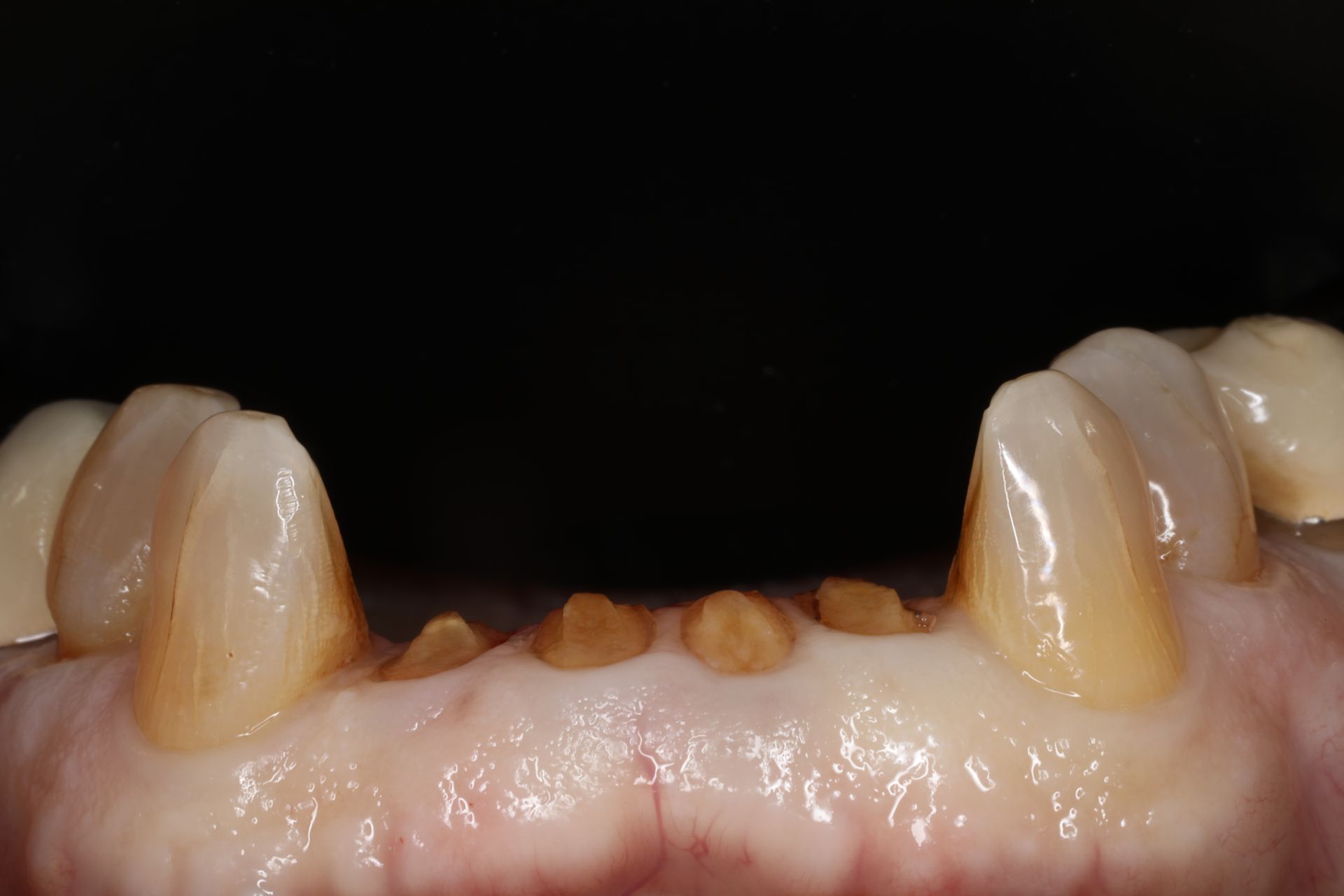
Smile Gallery
Our smile gallery showcases the incredible smile makeover results we've helped patients achieve through our professional dental care. View these amazing before and after photos for inspiration, then schedule a consultation to discuss your own smile goals!







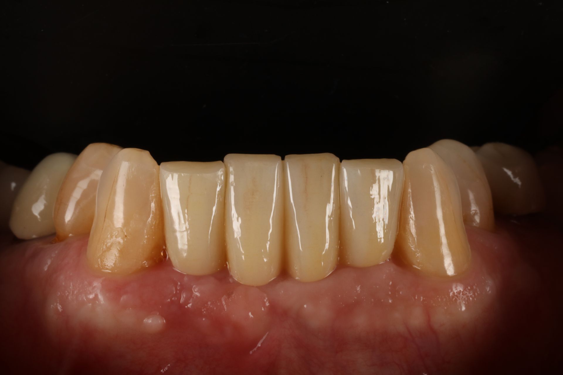
Smile Gallery
Our smile gallery showcases the incredible smile makeover results we've helped patients achieve through our professional dental care. View these amazing before and after photos for inspiration, then schedule a consultation to discuss your own smile goals!








